Des papillomavirus et des vaccins

Virus du Papillome Humain (HPV) et cancer du col, psychose ou réalité ?
Historique
Il y a plus de quatre décennies, le médecin allemand Harald zur Hausen a émis l'hypothèse d'un lien entre l'infection par le virus du papillome humain (HPV) et le cancer du col de l'utérus(1). Son groupe de recherche a commencé à travailler sur le HPV au début des années 1970 et a isolé deux des souches les plus oncogènes, le HPV de type 16 et presque dix ans plus tard, le HPV de type 18(2). Plusieurs de ses études clinico-épidémiologiques et moléculaires auraient finalement établi le lien de causalité entre l'infection à HPV et le cancer du col de l'utérus. Ce travail a valu à Harald zur Hausen le prix Nobel de médecine en 2008. Par la suite, d'autres études ont montré que les infections à HPV ne touchaient pas seulement les femmes mais représentaient environ 5% de la charge mondiale des cancers chez l'homme.
Description, contamination et manifestations
Le Virus du Papillome Humain (HPV) est un virus à ADN de la famille des Papillomaviridae. Il existe environ 200 génotypes différents de papillomavirus dont seulement une centaine est séquencée. Le HPV est notamment responsable de près de 70% des cancers du col de l'utérus. La contamination se fait le plus souvent dans les premières années de la vie sexuelle et environ 80 % des femmes sont exposées à ces virus au cours de leur vie(3).

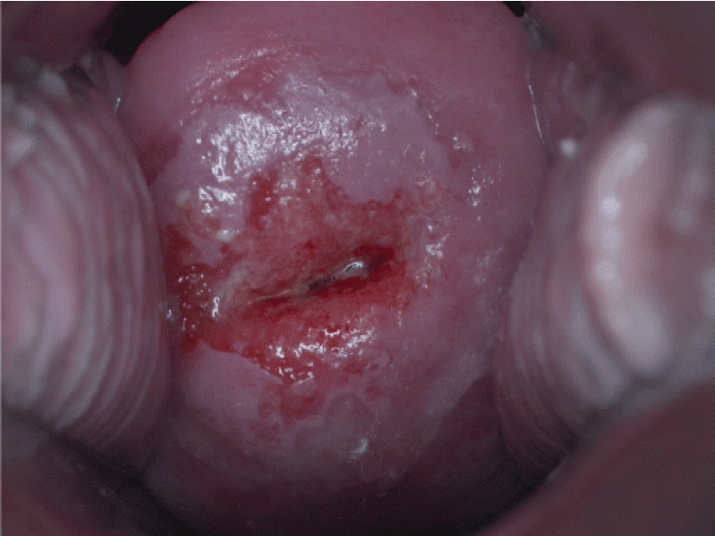
Infection du col utérin par HPV
Le papillomavirus est l’infection virale de l’appareil reproducteur humain la plus courante. Il est établi que la plupart des hommes et des femmes sexuellement actifs seront infectés à un moment de leur vie (environ 75%) et que certains risquent même de l’être à plusieurs reprises.
Certains types de HPV non cancérogènes (6 et 11) peuvent provoquer des condylomes acuminés (lésions bourgeonnantes rosées ou grisâtres plus ou moins pédiculées, c'est-à-dire reposant sur une sorte de pied, localisées ou disséminées) et une papillomatose respiratoire (développement de tumeurs dans les voies respiratoires). Ces affections sont rarement mortelles mais elles peuvent entraîner une forte occurrence des condylomes et papillomatose respiratoire. Les condylomes acuminés sont très courants et extrêmement contagieux.
Les autres formes de condylomes génitaux sont :
- les condylomes papuleux, papules multiples, rosées ou de couleur chair. Leur surface est lisse. Les papules sont soit isolées soit en nappe ;
- les condylomes plans, macules rouges ou rosées. Il est souvent nécessaire d'appliquer de l'acide acétique sur la zone infectée pour les voir ou de procéder à un examen à la loupe ou au colposcope (colposcopie).

De la gauche vers la droite : condylomes acuminés, papuleux et plans
Les condylomes sont des infections sexuellement transmissibles et nécessitent, en cas d'apparition, la recherche d'autres IST comme l'hépatite B, la syphilis, une infection à chlamydiae ou le VIH. En effet, les condylomes sont plus fréquents chez les personnes immunodéprimées, c'est-à-dire ayant de faibles capacités de défense immunitaire.
En revanche, de nombreux types de HPV ne posent aucun problème. Le plus souvent, les infections à HPV disparaissent d'elles-mêmes en quelques mois. Mais une petite proportion d’infections développées via certains types de HPV peuvent évoluer vers un cancer, dont le plus courant, le cancer du col utérin.
L’infection aux papillomavirus est particulièrement contagieuse : le HPV peut être transmis lors d'une fellation, un cunnilingus, d'un simple contact génital "peau contre peau" ou même d'une caresse intime. Il faut savoir que le préservatif masculin ne protège que partiellement du HPV. Même le préservatif féminin, couvrant les lèvres et le périnée, offrant une protection plus large et donc plus efficace lors des rapports sexuels ne présente qu'une barrière relative au virus. Selon le Dr Charlotte Merthorst, sa petite taille (55 nm) lui permet de traverser la barrière physique en latex ou en polyuréthane des préservatifs.
Symptômes
Dans une majorité des cas, aucun symptôme ni maladie ne signale la présence d'infections à HPV qui pour 90% d'entre elles, finissent par [...]
